「美麗的笑容是最好的名片,一口健康的牙齒,讓你的自信從齒而生。」
在牙科重建技術的革新中,All on 4 假牙無疑是改變缺牙患者生活品質的重要選擇。不論是全口重建、假牙壽命、材質比較,還是植牙費用、維修與後遺症,這篇文章將深入探討所有你需要了解的關鍵資訊,幫助你做出最適合自己的選擇。
All on 4 假牙壽命:可以用多久?
「投資健康,勝過投資黃金。」—— 牙科治療不僅是一次性的支出,更是一項長期的投資。
All on 4 假牙的壽命通常可達 10-20 年以上,但前提是選擇合適的假牙材質,並維持良好的清潔與保養習慣。不同患者的口腔條件、植體骨整合情況,以及日常使用方式,都是影響壽命的關鍵因素。
影響 All on 4 假牙壽命的因素
- 假牙材質:氧化鋯比傳統壓克力樹脂更耐磨耐用。
- 清潔與保養:每日清潔、使用專業沖牙器、定期回診。
- 咬合習慣:避免咬硬物、夜間磨牙患者應配戴咬合板。
- 植牙品質:選擇專業牙醫與精密植牙技術,影響假牙穩定度。

All on 4 假牙材質比較:該選擇哪種假牙?
「適合你的,才是最好的。」
All on 4 假牙的材質選擇影響其耐用性、舒適度與美觀度。以下是最常見的材質比較:
| 材質 | 優點 | 缺點 |
|---|---|---|
| 壓克力樹脂 | 成本較低、製作快速 | 易磨損、較易變色、壽命較短 |
| 金屬陶瓷 | 強度較高、美觀度適中 | 可能會有金屬邊緣,影響美觀 |
| 氧化鋯全瓷 | 超高強度、美觀、抗變色 | 成本較高、製作時間較長 |
如果追求最自然且耐用的選擇,氧化鋯全瓷假牙絕對是首選。
All on 4 假牙維修與破裂修復
「不怕萬一,只怕沒準備。」
即使 All on 4 假牙設計精密,仍可能因長期使用或外力影響而破裂。如果發生假牙裂痕或損壞,應立即尋求專業牙醫的評估,進行修復或更換。
常見的 All on 4 假牙斷裂案例
- 長時間使用導致磨損
- 夜間磨牙未佩戴護牙板
- 咬合壓力不均
- 意外撞擊或咬過硬食物
若假牙破裂,可能需要局部修補、重新黏接,嚴重時則需重新製作。
All on 4 和傳統植牙比較:哪種更適合你?
| 項目 | All on 4 | 傳統植牙 |
| 手術次數 | 一次完成 | 可能需要多次植牙手術 |
| 植牙數量 | 4 顆植體支撐全口假牙 | 每顆缺牙皆需植牙 |
| 康復時間 | 約 3-6 個月 | 可能需要 6-12 個月 |
| 費用 | 相對較低 | 成本較高 |
如果你希望快速恢復口腔功能、降低手術風險,All on 4 可能是更合適的選擇。
All on 4 假牙價格解析
「價格不是決定因素,價值才是關鍵。」
All on 4 植牙價格取決於診所的技術、假牙材質及患者個人條件,平均價格範圍大約落在 28-80 萬新台幣。
費用組成包含:
- 植體費用(品牌、材質)
- 手術費(醫師技術)
- 假牙製作費(材質選擇)
- 後續維護費(保固與調整)
All on 4 手術成功率與後遺症風險
「成功源於專業,風險來自疏忽。」
All on 4 植牙的成功率約 95% 以上,但仍需考量可能的後遺症,如:
- 植體周圍炎(清潔不當導致發炎)
- 植體鬆動或失敗(骨質不足或植體承受過大壓力)
- 初期不適應(剛戴上假牙需適應期)
選擇經驗豐富的牙醫團隊,可以有效降低手術風險,確保成功率。
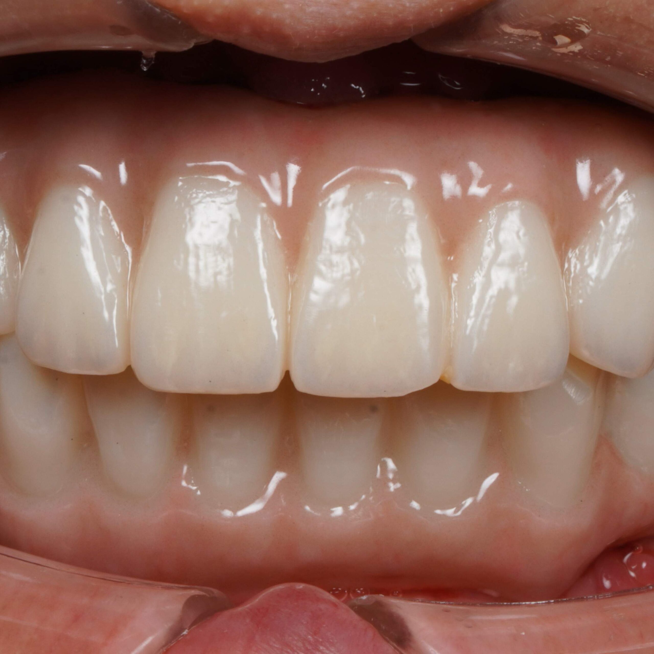
All on 4 假牙真實案例:患者的改變故事
「擁有健康的牙齒,才能享受人生的美好。」
許多患者在接受 All on 4 植牙後,人生發生了巨大的變化:
- 從無法正常進食,到重新享受美食
- 從缺牙遮掩,到自信開懷大笑
- 從傳統假牙的不適,到穩定耐用的 All on 4
選擇 All on 4 假牙推薦診所:你的微笑交給專業
選擇專業的 All on 4 診所,應考量:
✔️ 牙醫師的植牙經驗與技術
✔️ 診所使用的植體品牌與材質
✔️ 是否提供完整術後保養計畫
✔️ 實際患者的案例與口碑
結論:健康的微笑,是最珍貴的投資
All on 4 假牙讓你重獲完整口腔功能,選擇適合自己的治療方案,才能讓笑容持久如新。健康與自信,是一輩子的財富,現在,就是改變的最佳時機!
如果你對 All on 4 假牙有任何疑問,歡迎聯繫我們,讓專業醫師為你打造專屬的完美微笑方案!