不是你骨頭不好,
而是你被用「最簡單、卻不一定最適合你的方式」評估了。
如果你正在看這篇文章,八成有以下經驗之一:
-
被說「骨頭不夠,一定要補骨」
-
聽到補骨要半年到一年,心直接涼一半
-
開始懷疑:真的沒有其他選擇嗎?
我想先跟你說一句實話:
👉 有些情況,真的可以不用補骨。
而這,正是 All-on-4 真正厲害、卻最常被簡化帶過的地方。
這篇文章,我會用「病人聽得懂、但診所不常講清楚」的方式,帶你一次理解。
一、為什麼這麼多人被說「一定要補骨」?
我們先從最根本的問題談起。
1️⃣ 骨頭不是突然不見的,是「慢慢退的」
特別是上顎後牙,它有三個天生弱點:
-
缺牙後萎縮速度快
-
靠近鼻竇,垂直高度有限
-
長期咀嚼力量不足,骨密度下降
所以你會常聽到一句話:
「後面沒骨頭,不能植。」
這句話 不全錯,但不完整。
2️⃣ 為什麼多數診所第一時間會提「補骨」?
原因其實很現實:
-
補骨是「直觀解法」
-
技術門檻相對一致
-
不需要重新設計整個力學結構
👉 換句話說:
補骨,是最容易被複製的標準答案。
但問題是——
👉 標準答案 ≠ 最適合你的人生答案

在後牙接近鼻竇區域補骨,是標準的植牙訓練。
二、補骨真的不好嗎?先講清楚,不要妖魔化
我必須說一句公道話:
補骨不是壞事。
在很多情況下,它是必要、有效、而且安全的。
但你一定要知道 補骨的真實成本,不只是錢。
補骨常被忽略的 4 個代價
-
⏳ 時間:等待 4~9 個月不等
-
🔁 不確定性:吸收、失敗、再補
-
🩹 手術負擔:創口大、恢復期長
-
🧠 心理壓力:反覆治療、一直在等
所以問題不是:
👉「補骨好不好?」
而是:
👉 「你有沒有一定非補不可?」
三、All-on-4 為什麼能「繞過」大量補骨?
這才是重點。
關鍵不是植幾顆,而是「力怎麼走」
傳統植牙思維是:
哪裡要咬,就在哪裡補骨、放植體。
而 All-on-4 的思維是:
力學先行,再決定植體位置。
All-on-4 的三個核心設計邏輯
① 前後支撐重新分配
-
前牙區通常骨質相對穩定
-
後牙不硬碰「最差的骨頭」
② 傾斜植體,改變受力方向
-
避開鼻竇
-
拉長植體與骨頭的接觸面積
③ 利用「天然、密度高、不易萎縮」的後方骨區
這一點,就是多數病人沒被說清楚的地方。
👉 在上顎最後方,其實存在一個結構穩定、骨密度高、長期不易流失的支撐區域。
👉 在合適評估下,它可以成為後牙穩定的關鍵錨點。
⚠️ 這不是每個人都適合、也不是每個醫師都會用的技術。
但它的存在,正是 All-on-4 能減少補骨的重要原因之一。

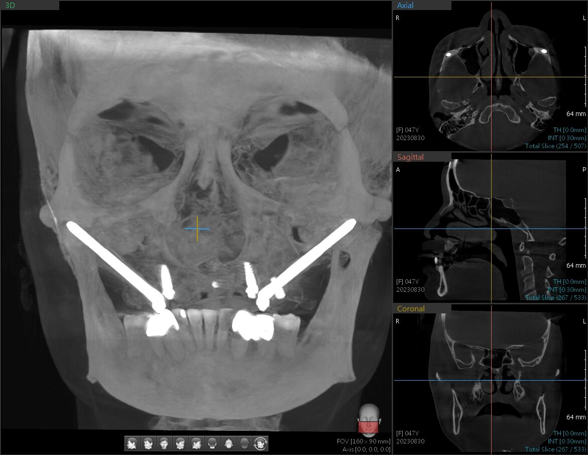
All-on-4 能藉由斜向植牙、加長植牙,支撐到口腔後方。
All-on-4 的顴骨植牙、翼骨植牙能支撐到口腔後方
1. 顴骨植牙 (Zygomatic Implants)
起源與發展
-
創始者: 被譽為「現代植牙之父」的瑞典教授 Per-Ingvar Brånemark。
-
起源時間: 1988 年左右開發,並於 1998 年正式發表臨床研究報告。
-
背景: 最初並非用於一般牙科。Brånemark 教授開發顴骨植體是為了幫助口腔癌手術或嚴重顏面創傷導致上顎骨缺失的病人進行重建。
-
技術特點: 植體長度極長(約 30mm 至 52.5mm),斜向植入人體堅硬的**顴骨(Cheekbone)**中。這讓即使完全沒有齒槽骨的患者,也能在當天或短時間內裝上固定假牙。
參考連結
-
History of zygomatic implants: A systematic review (ResearchGate)
-
The pioneers of implantology – Episode 8: A zygomatic Implant story (Nobel Biocare)
2. 翼板植牙 (Pterygoid Implants)
起源與發展
-
創始者: 最早由牙醫先驅 Leonard Linkow 於 1975 年提出概念,隨後由法國醫師 Jean-François Tulasne 於 1989 年正式描述其技術流程。
-
起源時間: 1980 年代末期正式進入臨床視野。
-
背景: 針對上顎最後方(磨牙區)骨頭高度不足的患者。醫師發現上顎骨後方的「翼板(Pterygoid process of sphenoid bone)」骨質非常緻密,足以提供強大的咬合支撐力。
-
技術特點: 植體長度較普通植體長(約 15mm 至 20mm),植入角度約呈 45 度,穿過上顎結節鎖在翼板骨上。
參考連結
-
Pterygoid Implants: Historical Review and Technique (FOR.org)
-
American College of Prosthodontists: Position Statement on Pterygoid Implants
四、為什麼你之前諮詢,沒人跟你講這一段?
我直接說實話。
不是不願意說,而是「不一定能做」
因為這牽涉到:
-
立體解剖理解
-
手術角度與深度控制
-
咬合力學與全口設計
-
以及大量實際案例經驗
👉 這不是單顆植牙的延伸,而是全口策略的選擇題。
所以很多時候,你聽到的不是謊言,而是——
那位醫師能安全提供的最穩妥選項。
五、哪些人「有機會」不用大範圍補骨?
以下不是自我判斷表,而是「諮詢時你該問的方向」。
你比較有機會符合的情況包括:
-
上顎後牙骨高度不足,但前牙區尚可
-
長期缺牙,但沒有嚴重感染
-
想一次完成全口重建,不想分段拖太久
-
有時間、生活品質、工作效率考量
👉 重點不是你一定不用補骨,而是:你值不值得被重新評估一次。
六、All-on-4 不是魔法,而是「設計能力的差距」
我一定要提醒你一句:
All-on-4 成功與否,
從來不只是植體品牌或顆數。
真正拉開差距的是:
-
後牙支撐怎麼設計
-
力線有沒有被想清楚
-
醫師有沒有做過「骨質真的很差」的案例
👉 同樣叫 All-on-4,結果可以差非常多。

林楚喬醫師於2023年,使用2支顴骨植牙重建口腔。
七、給正在猶豫的你,一個誠實的建議
如果你現在正卡在:
-
補骨要不要做
-
覺得方案太久、太複雜
-
內心其實很想一次解決
我會建議你做一件事:
找一位願意用「全口力學與長期結果」
而不是只用「局部骨量」來跟你討論的醫師。
你不需要立刻決定。
但你值得被完整說明所有可能性。
最後一句話,送給你
All-on-4 真正厲害的地方,
不是不用補骨,
而是「知道什麼時候可以不補」。