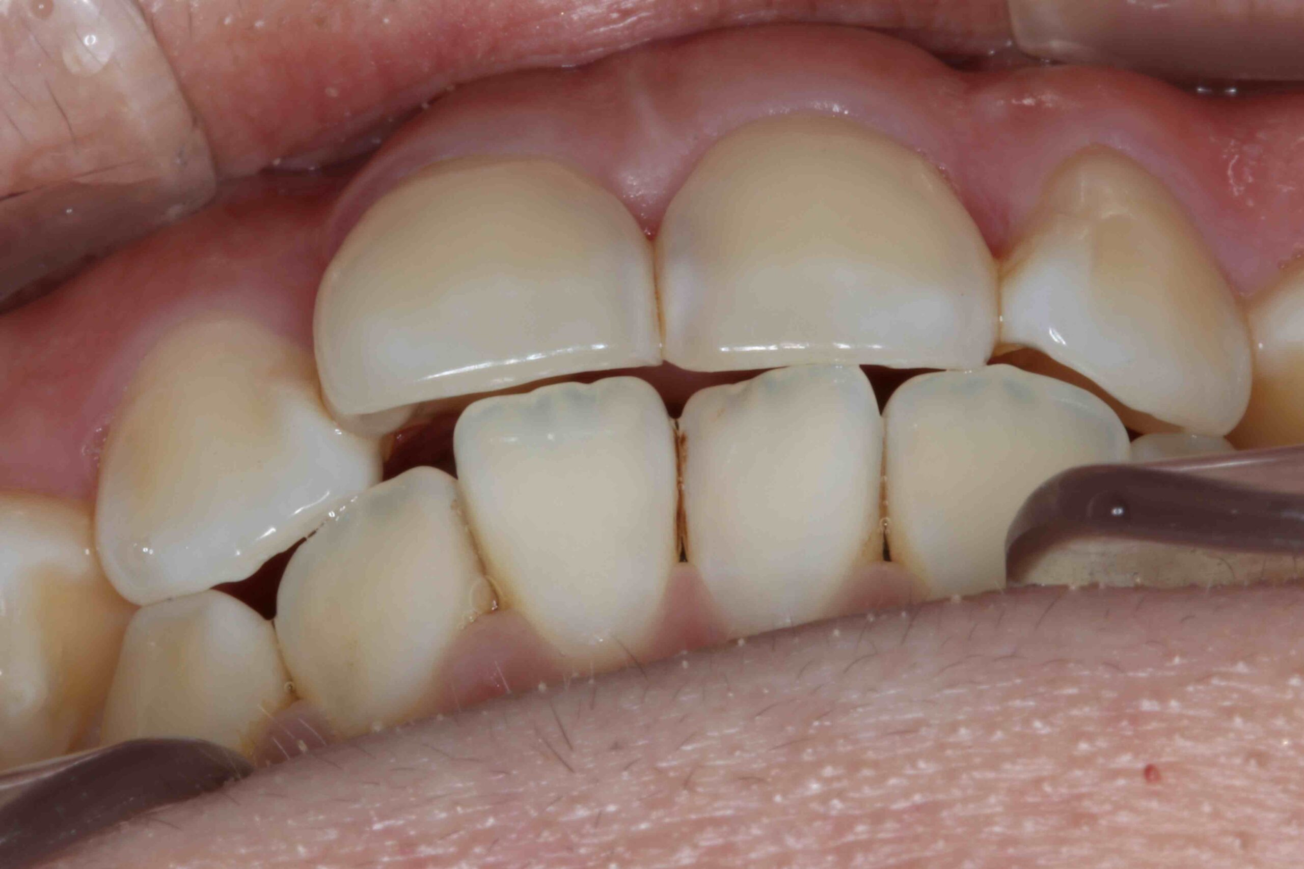
牙齦萎縮,也稱為牙齦退縮或牙齦縮退,是一種常見的口腔健康問題,特別是對於中老年人來說更為普遍。這種狀況不僅影響牙齒的外觀,還可能引發一系列口腔健康問題,如牙齦炎、牙周病和牙齒敏感。本文將深入探討牙齦萎縮的成因、症狀、預防措施及治療方法,幫助您全面了解這一口腔健康問題。

什麼是牙齦萎縮?
牙齦萎縮是指牙齦組織從牙齒表面逐漸退縮,暴露出更多的牙根。隨著牙齦組織的減少,牙齒看起來更長,這種變化通常會伴隨著牙齦的敏感和不適。牙齦萎縮的最常見原因包括牙周病、不良的口腔衛生習慣、牙齒不正咬合和年齡增長。
牙齦萎縮的成因
牙齦萎縮的原因多種多樣,以下是一些主要因素:
1. 牙周病
牙周病是牙齦萎縮的主要原因之一。牙周病是一種由細菌感染引起的炎症性疾病,這些細菌會破壞牙齦組織和支持牙齒的骨骼結構,導致牙齦退縮。
2. 不良的口腔衛生習慣
不良的口腔衛生習慣,如刷牙過度用力、使用硬毛牙刷,會對牙齦造成機械損傷,從而導致牙齦萎縮。此外,未能定期清潔牙齒和牙齦,積累的牙菌斑和牙石也會引發牙齦問題。
3. 牙齒不正咬合
牙齒不正咬合或咬合不均勻,會使某些牙齒承受過多的壓力,導致牙齦組織的損傷和退縮。

4. 年齡增長
隨著年齡的增長,牙齦組織自然會有所退縮。這是因為年齡增長會導致牙齦的彈性和厚度減少,從而更容易受到損傷。
5. 牙齦外傷
意外的牙齦外傷,如咬到硬物或牙齒撞擊,也可能導致牙齦組織的退縮。
6. 遺傳因素
某些人天生就更容易患上牙齦萎縮,這與遺傳因素有關。這些人通常有較薄的牙齦組織,更容易受到損傷。
7. 過度矯正治療
牙齒在加速移動的過程,損傷到牙齦。矯正的速度調整過快。
牙齦萎縮的症状
牙齦萎縮的症状包括:
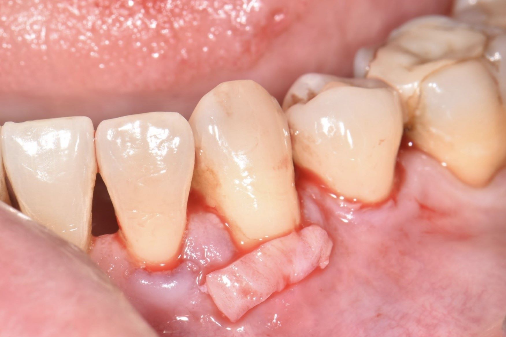
- 牙齦退縮:牙齦明顯低於正常位置,黃色的牙根暴露。
- 牙齒敏感:由於牙根暴露,牙齒對冷、熱、酸、甜等刺激更為敏感。
- 牙齦出血:刷牙或使用牙線時牙齦容易出血。
- 口臭:由於牙齦萎縮,細菌容易積聚,導致口臭。
- 牙齦顏色改變:健康的牙齦通常是粉紅色的,牙齦萎縮時可能會變得更紅或更暗。
預防牙齦萎縮
預防牙齦萎縮需要良好的口腔衛生習慣和定期的口腔檢查。以下是一些有效的預防措施:
1. 保持良好的口腔衛生
- 每天只少刷牙兩次:使用柔軟的牙刷和正確的刷牙技術,避免過度用力。
- 使用牙線:每天使用牙線清潔牙齦線下的食物殘渣和牙菌斑。
- 使用抗菌漱口水:可以減少口腔中的細菌數量,避免牙齦發炎。
2. 定期口腔檢查
- 定期看牙醫:至少每六個月進行一次口腔檢查和專業潔牙,及早發現和治療口腔問題。
3. 調整生活習慣
- 避免吸煙:吸煙會增加牙周病和牙齦萎縮的風險。
- 健康飲食:攝取足夠的維生素C和其他對牙齦健康有益的營養。
4. 佩戴適當的口腔護具
- 運動時佩戴護齒器:避免牙齦外傷。
牙齦萎縮的治療
治療牙齦萎縮的方法因病情的嚴重程度而異,以下是一些常見的治療方法:
1. 深層清潔
深層清潔包括刮治結石和牙根面平整,這些治療可以去除牙齦下的牙菌斑和牙石,促進牙齦組織的再生。
2. 抗菌治療
使用抗菌漱口水或抗生素可以幫助減少口腔中的細菌,減少炎症和感染。
3. 牙齦移植手術
對於嚴重的牙齦萎縮,牙醫可能會建議進行牙齦移植手術。這種手術可以使用患者自身的組織或人造材料來重建牙齦,保護牙根。

4. 矯正治療
如果牙齦萎縮是由於牙齒不正咬合引起的,矯正治療可以糾正牙齒的位置,減少對牙齦的壓力。
5. 雷射治療
雷射治療是一種新興的牙齦萎縮治療方法,具有減少疼痛、促進牙齦再生的優點。

結論
牙齦萎縮是一種常見的口腔健康問題,但通過良好的口腔衛生習慣和定期的口腔檢查可以有效預防。對於已經出現的牙齦萎縮問題,及時尋求專業的牙科治療是關鍵。了解牙齦萎縮的成因和治療方法,有助於保持口腔健康,防止牙齦問題進一步惡化。